Rinconada #1190 Maipú - Teléfono: 2 2532 1990
Agendar evaluación gratis
  • Inicio
  • Restauraciones dentales

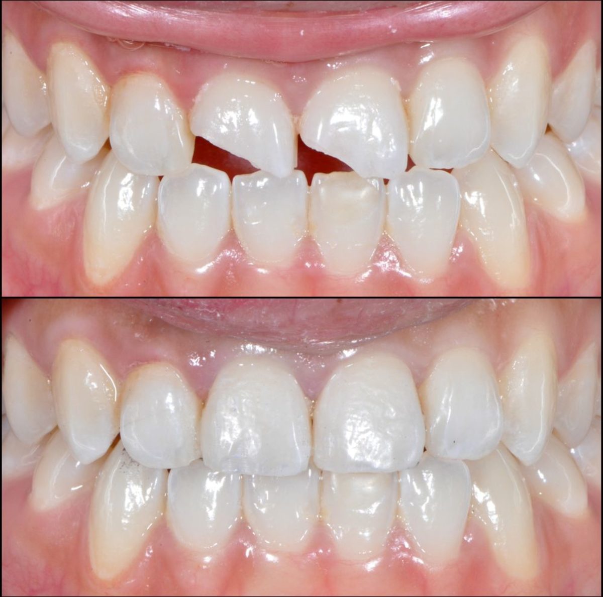
Restauraciones dentales

¿Cómo funciona una restauración?

¿Cómo funciona una restauración?

Las restauraciones dentales son tratamientos odontológicos destinados a reparar dientes dañados por caries, fracturas o desgaste, devolviendo su función, forma y estética natural. Este tipo de tratamiento permite:


  • Eliminar caries y tejido dental dañado
  • Restaurar la masticación y la funcionalidad
  • Mejorar la estética del diente
  • Prevenir daños mayores o la pérdida dental
Evaluación Gratis

Las restauraciones dentales pueden realizarse con resinas estéticas (composite) u otros materiales modernos que se adaptan al color natural del diente, logrando resultados discretos y duraderos.


Es un procedimiento seguro, mínimamente invasivo y personalizado, enfocado en la conservación del diente natural y la salud bucal a largo plazo.

¡Agenda tu hora!