Rinconada #1190 Maipú - Teléfono: 2 2532 1990
Agendar evaluación gratis

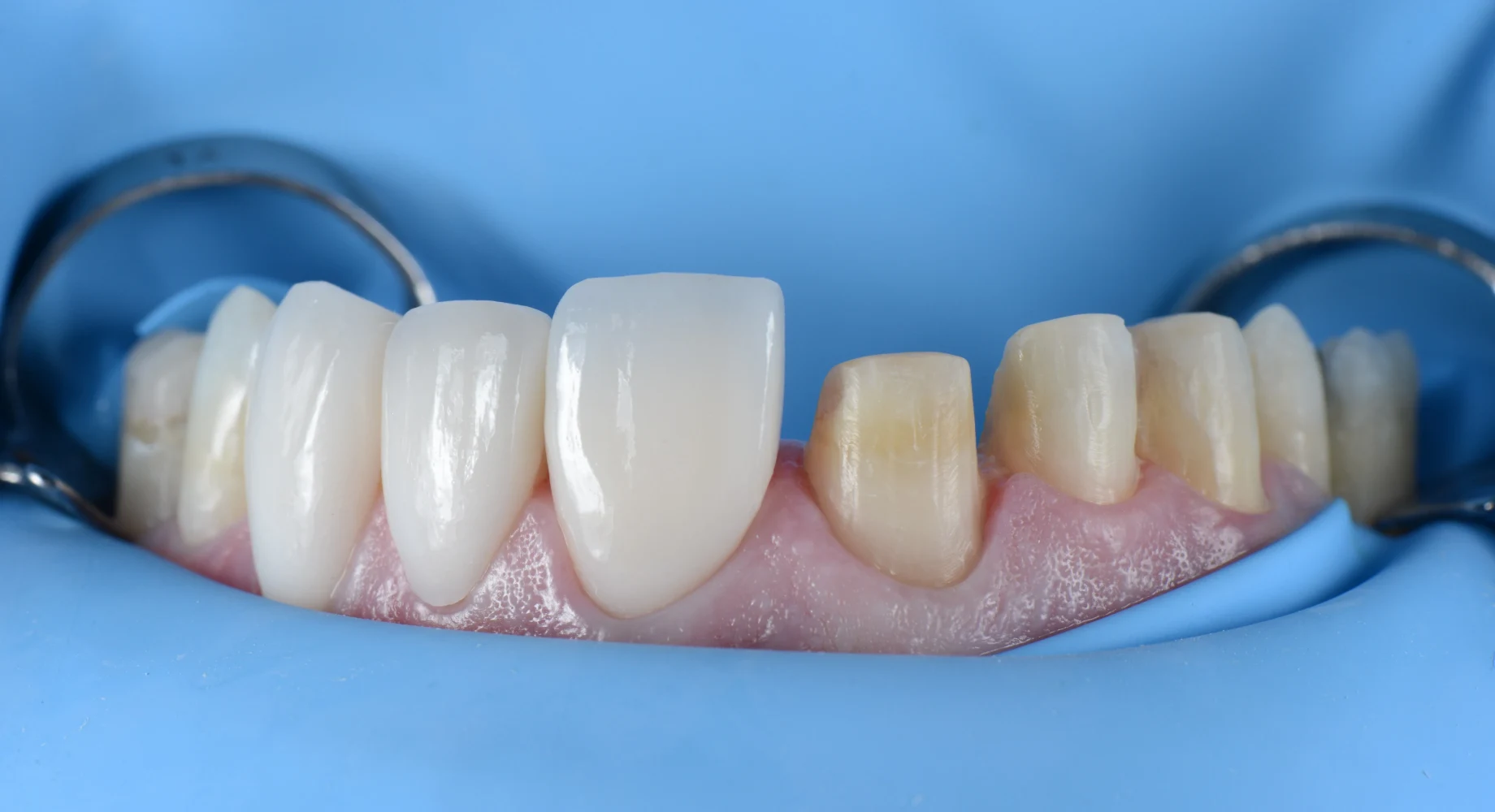
Carillas dentales

¿Qué son las carillas?

¿Qué son las carillas?

Las carillas dentales son un tratamiento de estética dental diseñado para mejorar la forma, el color y la alineación de los dientes, logrando una sonrisa más armónica y natural.


  • Corregir manchas y decoloraciones
  • Mejorar dientes fracturados o desgastados
  • Cerrar espacios entre dientes
  • Corregir leves desalineaciones y asimetrías
¿De que material son las carillas?

¿De que material son las carillas?

Las carillas dentales pueden ser de porcelana o resina, ofreciendo resultados estéticos duraderos y personalizados según las necesidades de cada paciente.

Este tratamiento es mínimamente invasivo, seguro y realizado por un profesional capacitado, devolviendo la confianza y estética a la sonrisa.
¡Agenda tu hora!