Rinconada #1190 Maipú - Teléfono: 2 2532 1990
  • Inicio
  • Nuestras especialidades

Nuestras especialidades

¿Cómo funcionan los implantes dentales?

¿Cómo funcionan los implantes dentales?

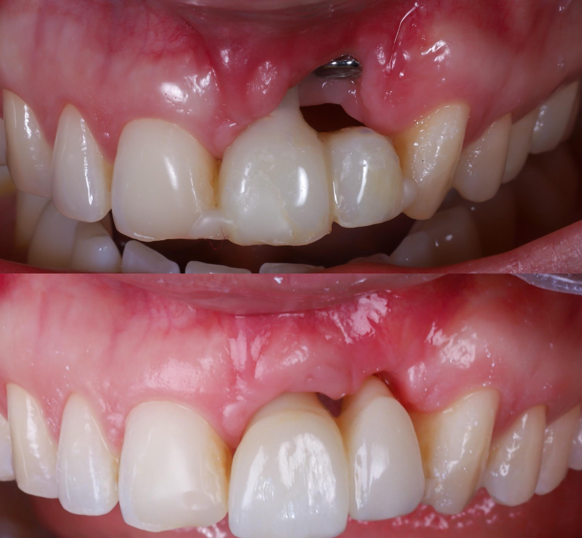
La implantología dental es una especialidad de la odontología que se encarga de reemplazar dientes perdidos mediante implantes que se integran al hueso maxilar o mandibular. Estos implantes son generalmente tornillos de titanio que se colocan quirúrgicamente en el hueso, actuando como una raíz artificial sobre la cual se instala una corona, puente o prótesis.
implante dental

¿Cuando se coloca el implante?

El procedimiento consiste en evaluar la cantidad y calidad del hueso disponible, ya que es fundamental para la estabilidad del implante. Cuando el hueso es insuficiente, se pueden realizar técnicas de regeneración ósea o injertos, que permiten reconstruir o aumentar el volumen óseo necesario para soportar el implante. Una vez colocado, el implante pasa por un proceso llamado osteointegración, en el que el hueso se fusiona con el titanio, logrando una base firme y duradera.
¡Agenda tu hora!